生物透射电镜的主要功能
生物透射电镜利用高能电子束穿透超薄生物样品,通过电子与样品的相互作用(散射、吸收等)形成高分辨率图像,核心功能包括:
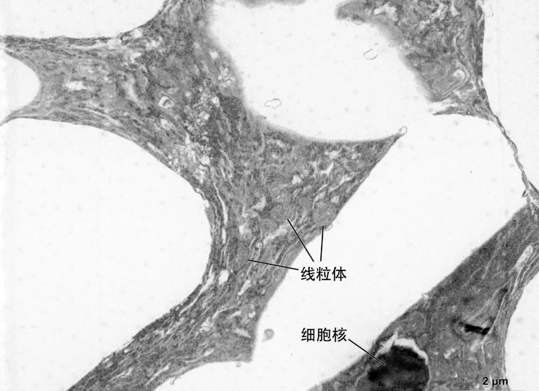
观察超微结构:能清晰呈现细胞、细胞器、生物大分子等的精细结构(如线粒体嵴、核糖体形态、病毒衣壳排列等)。
定位与分析:结合免疫标记(如免疫金标记),可对特定生物分子(如蛋白质、受体)在细胞内的位置进行定位,甚至定量分析。
动态与功能研究:通过冷冻电镜技术(如冷冻含水样品),可观察生物样品的天然状态,研究结构与功能的关联(如酶的活性构象、病毒入侵机制)。
病理诊断:观察病变组织或细胞的超微结构异常(如肿瘤细胞的细胞器畸变、病毒感染后的细胞损伤),为疾病诊断提供依据。

主要样品类型
生物透射电镜的样品需满足电子束可穿透(厚度通常 50-100 nm)、耐受高真空和电子束轰击的要求,常见类型包括:
细胞与亚细胞结构
动物 / 植物细胞、微生物(细菌、真菌)的整体或超薄切片,可观察细胞器(线粒体、叶绿体、内质网等)的形态和分布。
示例:凋亡细胞中染色质凝聚、线粒体肿胀的细节。
生物组织
经固定、包埋、切片后的动物 / 植物组织薄片(如肝组织、神经组织),用于观察细胞排列、细胞间连接(如紧密连接)及病理变化。

生物大分子及复合物
蛋白质、核酸(DNA/RNA)、多糖等单颗粒或聚集态;核糖体、病毒颗粒、细胞骨架纤维等复合物,可解析其三维结构。
微生物与病原体
细菌(细胞壁、鞭毛)、真菌(菌丝、孢子)、病毒(衣壳、包膜),是病毒鉴定和微生物分类的关键手段。

生物材料与纳米药物
生物支架、纳米载体与细胞的相互作用(如吞噬过程、胞内分布);纳米药物颗粒的递送路径观察。
免疫标记样品
经抗体 – 金颗粒标记的样品,用于定位特定抗原(如某蛋白质在细胞膜或细胞器中的分布)。
负染技术
负染技术是生物透射电镜中常用的样品制备方法,尤其适用于生物大分子、病毒、细菌等小颗粒样品,核心原理和特点如下:
1
原理
用高电子密度的重金属盐(如磷钨酸 PTA、醋酸铀 UA)作为染色剂,样品(如病毒、蛋白质颗粒)吸附在载网上后,染色剂沉积在样品周围的载网表面,而样品本身不被染色或仅轻微染色。
电子束穿透样品时,周围高电子密度的染色剂散射电子更多,在图像中呈现暗背景,而样品区域因电子穿透多呈现亮区,形成 “样品亮、背景暗” 的反差,即 “负染”(与传统染色 “样品暗、背景亮” 相反)。
2
优势
操作简单快速:无需复杂的固定、包埋、切片步骤,适合快速观察样品形态。
增强反差:尤其适用于低电子密度的生物大分子(如蛋白质),提高图像清晰度。
保留样品天然形态:染色剂对样品损伤小,可较好保留颗粒的原始结构(如病毒的对称形态)。
3
适用样品
脂质体、病毒颗粒、噬菌体、核糖体、蛋白质复合物(如酶复合体)、细菌鞭毛、纳米级生物材料等小颗粒或纤维状样品。

4
步骤
1、制备样品悬液:将样品(如病毒液、蛋白质溶液)稀释至合适浓度。
滴样:取少量悬液滴在带支持膜(如碳膜)的铜网上,静置片刻让样品吸附。
吸干多余液体:用滤纸轻轻吸去残留液,避免样品被冲走。
负染:滴加染色剂(如 2% 磷钨酸溶液,pH 调至中性或弱碱性),静置 1-2、分钟后吸干,自然干燥。
电镜观察:干燥后的载网直接放入电镜,观察样品的负染图像。

5
局限性
分辨率有限:染色剂可能在样品表面形成沉淀,掩盖细节,分辨率通常在 1-2 nm,低于冷冻电镜。
可能导致样品变形:高浓度染色剂或 pH 不当可能破坏样品结构(如蛋白质变性)。
负染技术因简便高效,广泛用于样品的初步筛选和形态观察,是生物大分子和病毒结构研究的基础手段,常与冷冻电镜技术互补使用。
本文源自微信公众号:科研测试站
原文标题:《生物透射电镜(脂质体、细胞、真菌)制样要求及负染技术的详细介绍》
原文链接:https://mp.weixin.qq.com/s/MQO2DdKbUZdkCkJ_L_9tPg
本转载仅出于分享优质测试干货,旨在传递更多观点,并不代表赞同其全部观点或证实其内容的真实性。文章中所包含的图片、音频、视频等素材的版权均归原作者所有。如有侵权请告知删除。

